57 Bradford Rd, Cleckheaton BD19 3LB

57D_LOGO_WHITE-BKGD

57 Bradford Rd, Cleckheaton BD19 3LB

Nearest Station

Cleckheaton bus station

New Patient Dental Examination New Adult Patient Offer - £49

(Usually £98)

Save £49 with our New Patient Exam, only in October.

Includes:

Dental Examination

2D Xrays

Clinical Photographs

3D Intra Oral Scans

Bespoke Treatment Plan

Book Your New Patient Exam

Only in October

Save £49

[gravityform id="3" title="false" description="false" ajax="true"]

+1000 Satisfied Patients

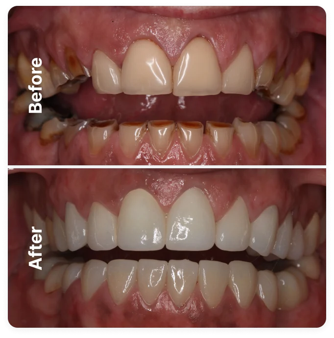
Dont’t Take Our Word For It. See Our Patient Results!

Full Smile Makeover 1

Full Smile Makeover 2

Meet The Dental Team With +43 Years Of Experience

[grw id="4379"]
[grw id="4380"]

Become A New Patient Today!

Your New Patient Offer £49

(Usually £98)

On the day of your New Patient Exam with our Dentists you will receive:

01
Detailed Dental Examination (1 hour appointment)

02
2D X-rays (regular price £120) and 3D digital images of your teeth with iTero® scanner. Clinical Photographs included

03
Detailed Bespoke Treatment Plan with the length of the treatment required, its costs and finance options.
All of your dental questions answered.

Our Dental Expertise

Here at 57 Dental we offer a full and comprehensive range of treatments, which can be tailored to your specific needs

Family Dentistry

Our family dentistry provides comprehensive oral care for all ages, from regular hygiene to fillings and emergency dentistry.

Cosmetic Dentistry

Our cosmetic dental treatments include composite bonding, porcelain veneers, teeth whitening and smile makeovers.

Invisalign & Orthodontics

Adult Invisalign clear braces, Invisalign First for children as well as fixed braces for Adults and Children provided by our experienced cosmetic dentists and Specialist Orthodontist of over 30 years.

Restorative Dentistry

Restorative dental treatments focuses on repairing or replacing damaged teeth. Treatments include dental fillings, crowns, bridges, dentures and dental implants.

State Of The Art Technology

At 57 Dental, we use advanced scanning and imaging equipment to plan treatment, make diagnoses, and enable our patients to become actively involved in the treatment process. We offer digital X-rays, 3D Intra Oral, Panoramic and CBCT scans, which enable us to obtain detailed images of the mouth prior to orthodontic and implant treatment. We can also design beautiful smiles using digital smile design for full smile makeovers.
Dr Sanna Khan is amazing with children. Thoroughly explains the process to put children at ease. Would highly recommend for anyone with any anxiety about going to the dentist. Superb manner.

Sarah B.

Excellent surgery. I’ve always been a nervous patient but have found myself becoming much more at ease since moving to 57 Dental Care under TK and his team

Pete L.

I recently had pretty severe toothache and57 dental managed to see me at short notice. The dentist and the dental nurse were both very reassuring and caring andI would definitely recommend this dental practice.

Julie M.

Opening Hours

Monday8.00am – 5.30pm
Tuesday8.00am – 5.30pm
Wednesday8.00am – 5.30pm
Thursday8.00am – 5.30pm
Friday8.00am – 5.00pm
SaturdayBy Appointment Only
SundayClosed

Where To Find Us

57 Bradford Rd, Cleckheaton BD19 3LB

Nearest Station

Cleckheaton bus station

© 2023 57 Dental Practice, all rights reserved.

This site is not a part of the Facebook website or Facebook Inc. Additionally, this site is NOT endorsed by Facebook in any way.
FACEBOOK is a trademark of FACEBOOK, Inc.